UPDATE AT BOTTOM
Today Elijah will have a CT Scan to follow up on some lesions in his lungs. They are probably scar tissue, but the doc is keeping an eye on them.

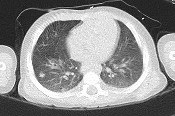
Here is what we are looking at. Imagine you sliced the top of his body off at the shoulders and then looked down “into” him and mirror-image what you see. For example, the half a potato shape on the far left is his right arm. The two misshapen black crescents facing each other are his lungs. The white football trophy in the middle is his heart on back to his spinal column. The bright white patches in the lungs are what we are watching, I believe. For all I can tell, they’ve been in every scan I’ve seen. The important part is they didn’t “glow” on the *PET scan.
*The PET scan is based on the body’s use of sugar. They “starve” him for 6 hours and then give him a sugary contrast solution. All the parts of the body that use the sugar will “glow” a bright color on the otherwise black and white scan. The brain, kidneys, and bladder, for example, will always glow because the use a lot of sugar. Cancer-type cells also use a lot of sugar, so docs look for abnormal glowing places.
Disclaimer: I only sound like I know what I’m talking about. See the pretty picture?
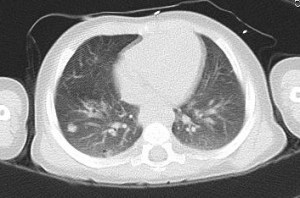
UPDATE: The CT scan went well, and we were able to do it without sedation. The rounder white “blobs” are the lesions the doctor was watching. This particular slice of the scan doesn’t show the one remaining significant round, black “bleb” in his right lung. The bleb is like an air pocket caused, we think, by the chemo killing off the bad cells, leaving a weakened spot. Today, the scan showed that bleb was gone and in its place, a lesion, indicating to us that it is, indeed scar tissue. Other lesions had resolved or shrunk. The doctor was very pleased! He will see Elijah again for a checkup in a month, and will schedule a set of scans for three months from now. If the next set of scans look good, we will talk about removing his port.
I also asked him about Elijah’s apparent lack of growth. He hasn’t appeared to have gained any weight for at least a month or more. Firstly, he was on heavy doses of Prednisone, which stunt growth. Secondly, Prednisone probably would have caused him to retain fluid and get chunky, so the doctor says Elijah may actually lose some weight and represent more of his “actual” self. Thirdly, he is at the age of being very active and too busy for real meals, so most kids don’t gain much weight at this stage to start with. He’s confident Elijah will catch up and thinks he looks remarkably strong, healthy and happy and is not at all concerned.
Thanks a million for your prayers!
Thanks so much for sharing! I’ve been praying for you all. So greatful to God for healing! What a Mighty God we serve!
LikeLike
Yeah! Good news!
LikeLike